Warning! The photos in this post may be disturbing to some people. If you don’t like photos of post-operative wounds and healing, look away now.
With that warning, you might be wondering why I’m even posting about the eyelid surgery I had last week, and posting photos of the healing process. Well, it’s because SO many people have told me in the past week or so that they are either considering this surgery, know someone who’s considering it, or know someone who’s had it done. Far more than I expected… and several people working in my local shops wanted me to remove my sunglasses to see what the results were.
I wanted to document the process I went through for anyone considering this surgery — with photos to show you what my first week post-surgery was like. And to document the pros and cons as I’ve experienced them. Over the next few weeks I’ll add more photos to show you how my eyes look after all the bruising and swelling has gone down.
Remember, this is MY story — if you’ve had this operation or are intending to have this operation, your experience may be different.
What surgery I had and why
I had surgery to remove drooping eyelid tissue that was starting to obscure my vision. The surgery is called a blepharoplasty and involves removing excess tissue (skin, fat, muscle) from the eyelids. I had this surgery on the advice of my ophthalmologist after I asked him about my drooping right eyelid when I visited him earlier this year. He confirmed that ultimately the eyelid would obscure my vision and that although the left eyelid wasn’t as droopy, he’d do both at once so that I didn’t look lopsided.
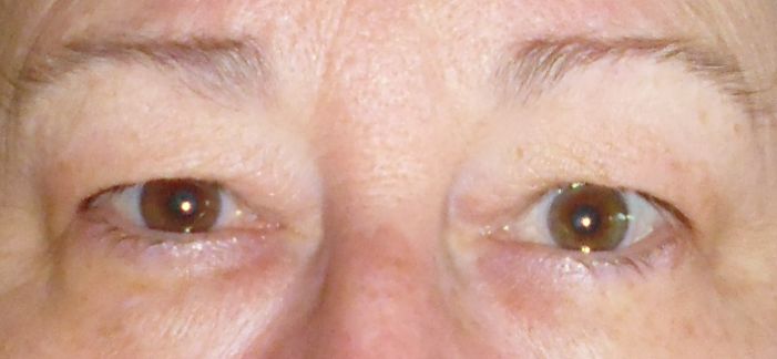
Here’s a photo of my eyes the day before the operation (absolutely no make-up) — my right eye is on the left in the photo:
You can see how the eyelid has folded over and how my eyelashes are almost totally hidden by the fold. The cause is likely a combination of genetics, weight gain, and aging.
There’s no eyelid definition, either. This lack of eyelid definition is often the reason some women have this surgery, and why this surgery is classed as ‘cosmetic’ by the health insurance companies, and therefore attracts only a small rebate. In my case, the surgery was recommended by an ophthalmologist for vision reasons, but the health insurance companies still treat it as ‘cosmetic’ (don’t get me started on that…).
If you look closely at my right eye and compare it to the left, you can see that the eyelid is well on the way to blocking light (at least) from that eye. This photo was taken in the morning — by evening, my right eyelid droops even more, to the point of closing totally (and involuntarily) by about 8:30 or so every night (when watching TV).
For comparison, the photo below is of my eyes taken July 2004, some 11 years ago, when I was not only younger, but thinner, not as grey, and wearing a little eye make-up on the day:
Pre-op
Although the ophthalmologist told me he could do this surgery under local anaesthetic in his rooms, I opted for ‘twilight’ anaesthetic in the day-surgery unit at a private hospital. Why? Because I had a major eye operation when I was a child and even today I get traumatised if a doctor of any sort puts an instrument anywhere near my eyes. I wanted to feel nothing — and I wanted to know nothing!
When I was waiting in a bed to be taken to surgery, the anaesthetist came to insert the cannula and discussed the anaesthetic procedure with me. It didn’t sound like what I’d been told and I told him so, as well as told him I’d freak out if I was awake and saw an instrument near my eyes. He suggested for everyone’s sake that he put me under a general anaesthetic, even though the ophthalmologist would prefer me to be awake so he could tell me when to open and close my eyelids. I was very grateful to the anaesthetist, and eagerly agreed to a general!
I was told the procedure would take somewhere around 45 to 60 minutes (that’s for both eyes).
(Aside: Waiting is traumatic — I arrived at Admissions just before 9:30, went through another 4 waiting rooms/stages, etc. before being wheeled to surgery at noon. That was some 2.5 hours of being alone with my thoughts and trying to fight off thoughts about what was to happen to me and whether I should go through with it or not. Fortunately, I took my tablet device with me so I distracted myself by playing Scrabble against the computer. Oh, it was a cold day and despite the air conditioning in the hospital, it was bloody freezing in the light cotton gown I had on — my bare feet [yes, I had to remove my shoes] were like blocks of ice.)
Post-op
After being brought around in the recovery ward, I got dressed and took a couple of photos with my tablet of my immediate post-op eyes. The bruising and obvious stitches were a bit scary, but already I could see eyelid definition and my eyelashes!
The next series of photos were taken at approximately the same time each morning for the next seven days. Excuse the quality of these photos — I had to take them with the camera pointed upside down at me! Selfies with a camera aren’t so easy…

10 July 2015, approx 18 hours after surgery

11 July 2015

12 July 2015

13 July 2015

14 July 2015
As you can see from these photos, the bruising and swelling gradually faded over the first week. I still have some residual bruising (16 July), but now that the stitches are out, my eyes are feeling much better. By the way, despite the horrific images above, the view from inside was fine and I felt very little pain — it looks far worse than it feels!
Pros and cons
The obvious positives are that my vision will be better in the long term as I won’t have to deal with drooping eyelids. And I can see my eyelashes and eyelids, so I should be able to wear eye make-up again, if I choose to (I haven’t worn eye make-up in years as there was no point as it couldn’t be seen, or it smudged all over the upper eyelids).
The list of cons looks long, but most of these are very temporary and will go with the passage of time:
- Bruising and swelling — Expect some bruising and swelling for at least a week. Ice packs help with both, and sleeping half sitting up helps a bit with the swelling.
- Wear sunglasses inside and out if you have to go out and about — Unfortunately, in this day and age, others may think you’ve been abused as versus had an operation or been in an accident of some sort. You WILL have some serious black eyes — wearing sunglasses is preferable to having a well-meaning person call the police to question you or your partner about abuse!
- Tightness — Even a week later, my eyelid area feels a little tight. This is normal and will fade over time. It felt even tighter when the stitches were in, but now that they’re out, the tight feeling above my eyes has gone. However, there’s still quite a bit of tightness on the inner and outer parts of the eyes.
- Tenderness — For the first few days, everything close to and around my eyes was quite tender (not especially sore — just tender), fading off over time. A week on and I’m still a bit tender in the outer and inner corners where the incision occurred, but not along the incision lines across the eyelids. Again, this will fade.
- Showering — I didn’t realise how much I splashed my face when taking a shower! Until I couldn’t do it. Now that the stitches are out, I’m very gently splashing my face with water (no soaps, cleansers, or gels yet) in the shower. Splashing my face is part of my routine for waking up and feeling refreshed, so not being able to do it each day made me feel like I hadn’t ‘properly’ woken up. It’s a little thing…
- Rubbing and scratching — Like the splashing, I didn’t realise how much I rubbed or scratched my eyes each day — until I couldn’t! This was probably the hardest thing to live with. There’s nothing worse than having an itch you can’t scratch — whether it’s because of tenderness, fear of infecting the area, or fear of pulling on stitches. It was agonising at times. However, now that the stitches have been removed and the area is healing well, I’m starting to rub and scratch a little. Ah, the relief 😉
- Blinking — I blinked a lot more the first few days. I think that was for two reasons — one, my eyes felt a little dry; and two, I wanted to check that the eyelid muscles were still working as they should.
- Follow instructions — I was given ointment to put onto the incisions for the first few days, and was told to use the ice packs the hospital gave me. I was religious about the ointment; not so much the ice packs, unless I noticed the swelling. I should have been more diligent with that. When I had the stitches out yesterday (a painless procedure, by the way), I asked about when I could start using my cosmetic eye cream again and was told about another two weeks. However, the person who removed my sutures said it was OK to stop the ointment and to use something like a drop of Bio-Oil in the interim.
- Cost — This isn’t a cheap operation. The quote I was given by the eye surgery people was AU$1800 for both eyes, of which I had to pay $600 after Medicare and Medibank Private rebates were taken into account. I haven’t yet received the anaesthetist’s bill, which no doubt will be several hundred dollars (I don’t know how much will be covered by government and private health insurance). I shouldn’t have any hospital charges as my Medibank Private top hospital private health insurance covers that, and I had already paid the annual $150 excess for an operation I had in April this year at the same hospital.
I’ll update this post with photos of my progress over the next few weeks. I won’t be taking photos every day now — perhaps once a week for a few weeks until it’s all settled down.
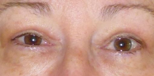
Two weeks after surgery
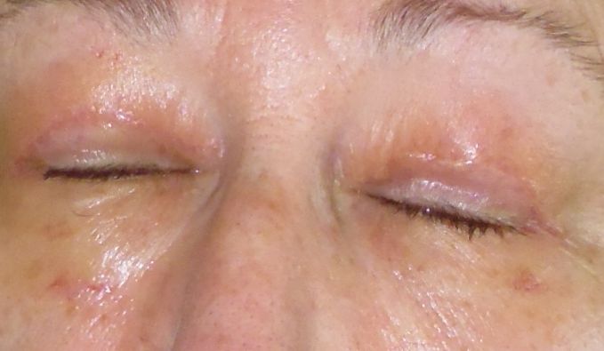
Two weeks after surgery I still have some residual swelling and bruising, but it’s going fast. I’ve now had my post-op appointment with the ophthalmologist and he’s pleased with how they look. He reckons I look a lot younger! (BONUS!!) I still have’t received a bill from the anaesthetist, so maybe that’s still to come, or perhaps it was covered as part of the hospital/surgical coverage. I guess I’ll find out within a month… My eyelids are still a little tight, but I’m sure that will settle with time too. I can now wear eye cream again, too. And I can splash my face and rub my eyes (gently!) if they are itchy.
The photo with my eyes closed shows the scars — they are quite fine and unless you knew to look you wouldn’t notice them.
Four weeks after surgery
One month on and all the obvious signs of surgery are gone — no more black eyes and minimal puffiness. The scars are fading. However, there’s still a bit of tenderness and dryness, especially around/in the right eye. And the scar above the right eye feels a little lumpier too. I’m sure this too will fade. I’ll post more pics in a couple more months’ time.

Three months after surgery
These will probably be the last photos I post, as everything has settled down into the ‘new normal’. As with the other photos, taken without makeup.












That is a great post!!! Thanks so much! I’ve been curious about such a procedure (not needed here) as I’ve observed many who could benefit from it. I didn’t realize its classification, even if an ophthalmologist deems it necessary, would be so rigidly problematic for reimbursement. I suspect that is the reason why more don’t have it done. Your progress in this short time is amazing! Lookin’ good!!!!!!!!
No kidding you look good. I’m sure you are relieved that it’s over with. I need cataract surgery that I’ve been putting off. Plus, in our family, we have the big Fred Flinstone bags under the eyes. Geez.. .
Hi rhonda.
Thank you for giving me and my bleph patients access to your blog. Many have found your website very useful. The photos are excellent.
I really hope that you are well and enjoying the change of seasons.
Best regards, russell 😊😊😎
[…] My first eye op was when I was 12. The next was a five years ago when I had a blepharoplasty to remove some of the excess skin from my droopy eyelids; see https://rhondabracey.com/2015/07/16/eyelids-before-and-after/ […]